Sonrisas que inspiran confianza.
Casos Clínicos
Rehabilitación Oral Multidisciplinar
Recuperación de la Función y la Estética Dental
Este caso clínico presenta un abordaje multidisciplinar para la rehabilitación oral completa de un paciente, con el objetivo de restaurar tanto la función masticatoria como la armonía estética de la sonrisa. El tratamiento se planificó y ejecutó en varias fases coordinadas, integrando tecnologías de vanguardia para garantizar la precisión y predictibilidad de los resultados.


Fases del Tratamiento
El plan de tratamiento se estructuró en tres etapas principales, cada una abordando un aspecto específico de la rehabilitación.
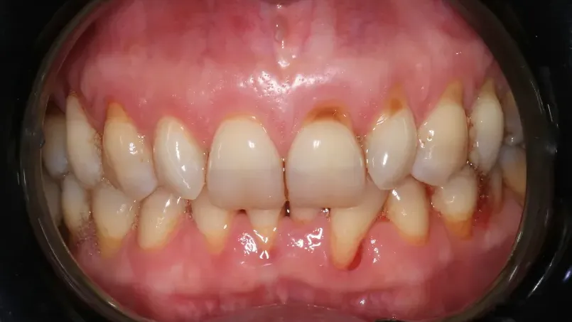
Fase de Ortodoncia
Fase Quirúrgica
Una vez alcanzada la posición dental ideal, se procedió a la fase quirúrgica, que consistió en la colocación de dos implantes dentales en la zona posterior. Estos implantes sustituyen piezas ausentes, devolviendo el soporte óseo y la capacidad masticatoria en sectores cruciales para la función.
Fase de Rehabilitación Restauradora
La etapa final se centró en la estética y la función del sector anterior. Mediante el uso de software de diseño de sonrisa digital (DSD) 3Shape, como se observa en las imágenes adjuntas, se realizó una planificación minuciosa de la sonrisa. Se diseñaron carillas de porcelana para los dientes anteriores e incrustaciones para los posteriores, buscando una forma, color y textura que armonizaran con los rasgos faciales del paciente. La planificación digital permitió previsualizar el resultado final y fabricar restauraciones cerámicas de alta precisión con un enfoque mínimamente invasivo, conservando la mayor cantidad de estructura dental sana.
Conclusión
Rehabilitación Oral Completa con Flujo Digital
Un Enfoque Eficiente para Casos de Máxima Complejidad
Este caso ilustra un tratamiento de rehabilitación oral completa en un paciente que presentaba un edentulismo total en la arcada superior y ausencias de piezas posteriores en la arcada inferior. El objetivo principal fue devolver la función masticatoria, la fonética y una estética natural a través de un protocolo clínico altamente eficiente y predecible, basado en un flujo de trabajo completamente digital.


Planificación Digital: La Clave del Éxito
Cirugía Guiada y Prótesis Inmediata
Fase Restauradora y Conclusión
Este caso demuestra de manera contundente que, con una planificación digital exhaustiva, es posible abordar trabajos de máxima complejidad de manera predecible y extraordinariamente eficiente, logrando una rehabilitación oral completa en tan solo cuatro sesiones clínicas.
Armonización de la Sonrisa con Tratamiento Mínimamente Invasivo
Recuperando la Confianza a Través de la Estética Dental
Este caso clínico aborda la transformación de la sonrisa de una paciente cuya principal preocupación era la falta de confianza al hablar y reír. La situación inicial presentaba dos desafíos estéticos significativos: un torque negativo en los dientes anteriores, que provocaba una inclinación indeseada hacia el interior, y una bicoloración notable, con variaciones de tono que restaban uniformidad y vitalidad a la sonrisa.

